Dr K.K. Pandey explains why pleural effusion or water inside the chest needs timely diagnosis and treatment.
Share

Often during an informal talk, you might have heard your relatives, friends or neighbours telling you about a particular person who had collection of water inside the chest around the lung and got treated by a doctor for a long time. The treating doctor evacuated the water collected inside the chest through a syringe-needle. Sometimes you might have heard that one of your friends or relatives had to get the collected water out of the chest with the help of a chest tube as syringe-needle failed to evacuate the collected water completely. Sometimes, one of your acquaintances might have told you that the water got refilled inside the chest even after previous successful evacuation through syringe or chest tube.
What is this collection of water inside the chest all about?
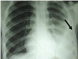
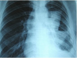
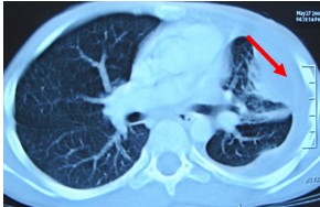
The collection of water inside the chest and around the lung is called in medical terms a ‘Pleural Effusion’ or ‘Hydrothorax’. There lies an empty space between the lung and chest wall. In this free space, lung regularly and freely inflates and deflates during breathing process. This empty space is called in medical term a ‘Pleural Space’ which is a normal and natural existence in any human chest. When, due to some reasons or due to disease of the lung, water or fluid get accumulated inside the chest around the lung. This is called a pleural effusion or collection of water inside the chest.
Why does water collect inside the chest?
In our country the most common cause of collection of water inside the chest is a tubercular or T.B. infection, which causes a strong reaction (activity) on the surface of the lung. The other common causes of collection of water inside the chest are infection, pneumonia, lung abscess and the disease of bronchiectasis.
Coexisting Cancer and water collection in the chest

The other important cause of collection of water inside the chest in our country is the lung cancer, second is breast cancer and third is lymph node cancer or lymphoma. Besides, the disease of liver (liver cirrhosis), water in the abdomen (ascites), disease of heart also leads to collection of water inside the chest. In some patients, the tumour of inner wall of the chest, called mesothelioma is also responsible for fluid collection in the chest.
How to suspect collection of water inside the chest?
Fever with evening rise and reduction in weight.
Breathlessness or chest pain on breathing and passing out phlegm during coughing.
Production of gurgling sound, when the chest is shaken Feeling of heaviness on either side of the chest.
If we neglect this problem, what will happen?
If the collection of water inside the chest is left as such without any treatment, a sufferer will face a number of complications in due course of time. With the gradual passage of time, at the collection-site, a thin membrane appears which surrounds and attempts to limit the water collection. it suppresses the adjoining portion of the lung resulting into gross disturbance in functioning of the lung. and sometimes whole lung is compressed. This condition is called in medical term a ‘Fibrothorax’. To treat this condition and free the lung, surgical intervention is required.
Pus formation and leakage may start, if treatment delayed

Sometimes, this water thus collected, is converted into a pus due to negligence. If this pus collected inside the chest is not taken out at the earliest, a dangerous situation may arise. This dangerous condition is called in medical terms a ‘Bronchopleural Fistula (B.P.F.)’. In this condition not only the affected side of lung is destroyed, but the healthy lung on the other side too develops the risk of infection and subsequent destruction. Therefore, such a dangerous situation should never be allowed to develop and, one should consult immediately a thoracic or chest surgeon for advice and treatment.
What to do if you have collection of water inside the chest?
First thing you do is to get the chest x-ray done. The Consult a physician and show him the chest x-ray. If chest x-ray confirms the presence of water, get immediately the ultrasound examination of chest done. If the amount of water collected is between 400 to 500ml millilitres, this water in the chest needs evacuation through syringe-needle under ultrasound or CT- guide. Never allow evacuation of water without the guidance of ultrasound machine, otherwise problem of massive bleeding may occur sometimes.
Evacuation of water through chest tube is the best way out

If the amount of collected water is more than 500 millilitres, consult immediately a thoracic surgeon and have the water in the chest removed with the help of a chest tube. This procedure will prevent the lung from unnecessary trauma and destruction. A chest tube will remove water completely from the chest. Always remember emptying of chest through a chest tube is the simplest and timely method to prevent the destruction of lung.
Problem of recurrent filling of water inside the chest
In cancer patients, water gets repeatedly filled-up even after previous successful evacuation. To control and prevent recurrent collection, a special technique called ‘Pleurodesis’ is employed. In this technique, a special medicine is instilled into the chest cavity, which helps in uniting both the inner walls of the chest, so that no empty space is left to accommodate water. If even after chest tube insertion, there occurs no significant improvement in lung condition, and the lung is not expanding as desired, be careful immediately get the destroyed portion of the lung removed by a thoracic surgeon, otherwise the remaining healthy lung too will get infected and destroyed.